Receding gums medically known as gingival recession, occur when the gum tissue around the teeth wears away, exposing the tooth roots. This condition is becoming increasingly common, with studies showing that nearly 30% of adults over 30 experience some degree of gum recession. It often develops due to poor oral hygiene, aggressive brushing, gum disease or lifestyle factors such as smoking and hormonal changes.
Patients may notice sensitivity to hot, cold or sweet foods and sometimes that their teeth appear longer than usual. In my experience as a dentist, many patients only seek treatment after experiencing discomfort or visible changes, which makes early detection crucial.
If left untreated your gums can lead to root decay, infection and even tooth loss. Proper care, including gentle brushing, regular dental check-ups and targeted treatments, can slow progression and maintain healthy gums and teeth.
Table of Contents
What Are Receding Gums?
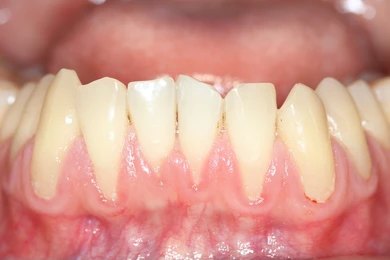
It occurs when your gum margin surrounding the teeth wears away or pulls back. As a result, more of the tooth – or sometimes even the root – becomes visible.
Tooth roots are not protected by enamel like the crown of the tooth. Instead, they are covered by cementum, which is softer and more vulnerable. When receding gums expose these roots, sensitivity and decay become more likely.
Healthy gums should fit tightly around each tooth. When recession begins, small gaps or pockets form between the gums and teeth. These pockets allow bacteria to accumulate, which can lead to inflammation and damage to the supporting bone structure.
Since it develops gradually you may failed to notice the condition until it progresses significantly.

Stages of Receding Gums
Understanding the progression of receding gums helps in early detection and treatment.
Stage 1: Mild Recession
- Slight lowering of the gum line
- Occasional Sensitive teeth
- No major bone damage
- Often reversible with proper care
Stage 2: Moderate Recession
- Noticeable root exposure
- Increased sensitivity
- Beginning of gum pockets
- Mild bone involvement
Stage 3: Advanced Recession
- Significant gum tissue loss
- Deep pockets
- Bone loss
- Tooth mobility
Stage 4: Severe Receding Gums
- Extensive root exposure
- Severe bone deterioration
- Loose teeth
- High risk of tooth loss
Early-stage of this can be managed effectively, while advanced cases often require surgical intervention.

Common Causes of Receding Gums
While many people assume gum recession is just a natural part of getting older (hence the phrase “long in the tooth”), it is almost always a result of specific physical or biological stressors. In my experience as a dentist, I’ve seen patients who brushed too hard or neglected regular check-ups develop noticeable recession much earlier than expected. Understanding these causes for it is the first step in stopping the damage.
1. Periodontal Disease
This is the leading cause of gum recession. Periodontal diseases are bacterial infections that attack the gum tissue and the bone that holds teeth in place. When plaque—a sticky film of bacteria—isn’t removed, it hardens into tartar. Tartar produces toxins that irritate the gums, causing them to pull away from the teeth and form “pockets” that harbor even more bacteria.
2. Physical Trauma and Aggressive Brushing
You might think scrubbing your teeth vigorously is the best way to keep them clean, but the opposite is true. Gums are delicate. Brushing with a “Hard” or “Medium” bristle brush or applying too much pressure, literally wears away the thin gingival margin. Over time, this mechanical abrasion results in visible receding gums.
3. Genetics and Predisposition
Sometimes, it’s just in your DNA. Studies show that about 30% of the population is predisposed to gum disease, regardless of how well they care for their teeth. Some people are born with “thin biotype” gums, which are naturally more fragile and prone to recession than thicker tissue.
4. Tooth Misalignment (Malocclusion)
When teeth are crooked or your bite is misaligned, the pressure of chewing isn’t distributed evenly. This “occlusal trauma” puts excessive force on specific areas of the jawbone and gum tissue, causing the gums in those areas to recede much faster than others.
5. Grinding and Clenching (Bruxism)
If you wake up with a sore jaw, you might be grinding your teeth at night. This constant, heavy pressure causes the teeth to micro-flex at the gum line. This flexing can cause the enamel to chip (abfraction) and the gums to pull back in response to the trauma.
Early Signs and Symptoms
Recognizing the early warning signs of receding gums can save you from expensive surgery later.
- Tooth Sensitivity: If the dentin (the layer under the enamel) is exposed because the gum has moved down, you will feel sharp pain from temperature changes.
- The “Notch” Feel: Run your fingernail along the top of your tooth near the gum line. If you feel a small indentation or “shelf,” that is where the gum used to be.
- Change in Tooth Color: The root of the tooth is not covered in white enamel; it’s covered in cementum, which is naturally more yellow or dark. If your teeth look yellow near the gums, you are seeing the root.
- Persistent Bad Breath: Bad breath happen due to bacteria trapped in the pockets created by recession produce foul-smelling sulfur compounds that won’t go away with mints or mouthwash.

Risk Factors That Increase Chances of Receding Gums
Its don’t always show obvious signs at first, but noticing early changes in your smile can make a big difference. In my practice, I’ve seen how simple lifestyle adjustments and early care can prevent serious gum damage over time.
You’re are at higher risk if you’re:
- Smokers
- Diabetic patients
- Individuals with poor oral hygiene
- People with family history of gum disease
- Patients with orthodontic history
- Individuals who grind teeth
Understanding your risk profile helps in prevention.
Long Term Complications of Untreated Receding Gums
Ignoring it can lead to serious dental problems over time. Each stage of gum recession increases the risk of permanent damage.
- Root Cavities: When receding gums expose the tooth roots, they become more vulnerable because roots are not protected by enamel. This increases the risk of tooth decay and long-term sensitivity.
- Bone Loss: Bacterial infection caused by gum recession can spread to the supporting jawbone. Over time, this weakens the structure that holds teeth firmly in place.
- Gum Abscess: Deep pockets formed by receding gums can trap bacteria and food particles. This may lead to painful infections with swelling and pus formation.
- Chronic Inflammation: Persistent bacterial irritation keeps the gums inflamed and swollen. Continuous inflammation gradually damages gum tissue and worsens recession.
- Loose Teeth: As supporting bone and gum tissue deteriorate, teeth may begin to shift or feel unstable. This can affect chewing comfort and bite alignment.
- Complete Tooth Loss: In severe cases, untreated receding gums can destroy the structures that anchor teeth. Without proper support, tooth loss may become unavoidable.
Once gum tissue is lost, it does not regenerate naturally. Early action is essential.
Professional Treatments for Gum Recession
If the recession has reached the root, a dentist or periodontist will need to intervene to prevent tooth loss. As a doctor, I have seen many patients benefit from early treatment, often saving teeth and improving both gum health and comfort.
| Procedure | What Happens | Recovery Time |
| Scaling & Root Planing | Deep cleaning under the gum line to smooth the roots so gums can reattach. | 1-2 Days |
| Connective Tissue Graft | A flap of skin is cut at the roof of your mouth and tissue from under the flap is stitched to the gum tissue. | 1-2 Weeks |
| Pinhole Surgical Technique | A needle makes a tiny hole in the gum; the tissue is loosened and guided over the exposed root. | 24 Hours |
| Guided Tissue Regeneration | A biocompatible fabric is placed between the bone and gum tissue to encourage bone and tissue growth. | 2-3 Weeks |
Preventive Measures to Avoid Receding Gums
To stop receding gums before they start, you must change your daily habits:
- Use an Electric Toothbrush with a Pressure Sensor: These devices vibrate or light up if you press too hard, protecting your gums from mechanical wear.
- Quit Tobacco: Smoking interferes with the blood supply to the gums, meaning they cannot heal themselves from minor infections.
- Wear a Nightguard: If you grind your teeth, a custom-fitted nightguard from your dentist is the best way to distribute bite force and protect your gum line.
Lifestyle and Dietary Tips for Healthy Gums
Your diet is the building block of your oral health. To prevent receding gums, you need to eat foods that support collagen production and bone density.
The “Gum Health” Diet:
- Vitamin C (The Collagen Builder): Gums are made largely of collagen. Without enough Vitamin C (found in bell peppers, kiwis and strawberries), your gums can become weak and bleed easily.
- Omega-3 Fatty Acids: Found in salmon, walnuts and flaxseeds, Omega-3s are natural anti-inflammables that help reduce the severity of gum disease.
- Probiotics: Yogurt, kefir and sauerkraut introduce “good” bacteria to your mouth, which can crowd out the harmful bacteria that cause recession.
- Green Tea: Contains catechins that inhibit the growth of bacteria and lower the risk of periodontal disease.
- Crunchy Vegetables: Celery and carrots act like “nature’s toothbrushes,” scraping away plaque and stimulating blood flow in the gums as you chew.
What to Avoid:
- High-Sugar Snacks: Sugar feeds the bacteria that create the acid that destroys your gum line.
- Sticky Candies: Dried fruits or caramels stay stuck in the “pockets” of receding gums for hours, causing rapid decay and further recession.
- Carbonated Drinks: Even sugar-free sodas are highly acidic and can soften the enamel and cementum at the gum line.
Home Remedies for Receding Gums
While tissue cannot be “regrown” at home, you can stop the recession from progressing by managing inflammation and bacteria.
- Oil Pulling with Coconut Oil: Coconut oil contains lauric acid, which has anti-inflammatory and antimicrobial properties. Swishing a tablespoon for 15 minutes can reduce the bacterial load in the mouth.
- Aloe Vera Massage: Using pure, medicinal-grade aloe vera gel can soothe irritated gum margins.
- Septic Salt Rinses: Salt increases the pH of the mouth, making it difficult for the bacteria that cause it to survive.
- Turmeric Paste: Curcumin, the active ingredient in turmeric, is a potent anti-inflammatory. Applying a paste of turmeric and water to the gums can help reduce redness and swelling.
Importance of Regular Dental Checkups for Receding Gums
Routine dental visits allow early detection of it. Dentists measure pocket depth and evaluate bone levels through X-rays.
Professional cleaning removes tartar buildup that brushing cannot eliminate. Early-stage it often require only deep cleaning rather than surgery.
Conclusion: Take Receding Gums Seriously
Receding gums are not just a cosmetic problem; they are an important warning about your oral health. Many factors like gum disease, aggressive brushing, teeth grinding, smoking, hormonal changes and poor oral hygiene can cause your gums to pull back, exposing tooth roots. Once gum tissue is lost, it cannot grow back naturally, which makes early care very important.
In my experience as a dentist, if you notice early signs like tooth sensitivity, longer-looking teeth or small notches near the gum line can prevent serious damage by taking simple steps. Regular dental checkups, proper brushing with a soft or electric toothbrush, flossing and addressing habits like grinding or smoking can slow down gum recession and keep your teeth strong.
Professional treatments like deep cleaning, gum grafting or the pinhole surgical technique can restore lost gum tissue and protect exposed roots, making your smile healthy and comfortable again.
Remember, ignoring receding gums can lead to root cavities, bone loss, infection and even tooth loss. Paying attention early and consulting your dentist ensures healthier gums and long-lasting teeth, saving you from pain and expensive treatments later.
Frequently Asked Questions (FAQs)
-
Can receding gums grow back naturally?
No, gum tissue does not regenerate naturally like skin or other soft tissues in the body. Once it is lost due to receding gums, it cannot grow back on its own. However, dental procedures such as gum grafting or the pinhole surgical technique can restore lost gum coverage and protect exposed roots.
-
Does salt water help with receding gums?
Salt water rinses can help reduce bacteria and inflammation in the mouth, which may prevent it from worsening. It supports gum healing in mild cases, but it does not regenerate lost gum tissue. It should be used as a supportive measure alongside proper oral hygiene and professional care.
-
Is gum recession a sign of aging?
Gum recession is not simply a natural part of aging; it is usually a result of long-term wear, gum disease, or improper brushing habits. Although it is more common in older adults due to cumulative damage over time, children and teenagers can also experience receding gums because of braces, aggressive brushing, or poor oral hygiene.
-
Can an electric toothbrush cause gum recession?
Generally, electric toothbrushes do not cause receding gums and are often safer than manual brushes. Most modern electric toothbrushes include pressure sensors that prevent excessive force while brushing. However, using too much pressure consistently, even with an electric brush, may still irritate gum tissue over time.
-
How much does gum grafting cost?
The cost of gum grafting depends on the severity of gum recession, the technique used, and your geographic location. On average, it can range from $700 to $3,000 per tooth. More complex cases involving multiple teeth or advanced procedures may increase the overall treatment cost.
-
Can stress cause my gums to recede?
Yes, stress can indirectly contribute to receding gums. High stress levels often lead to teeth grinding (bruxism), which puts excessive pressure on teeth and surrounding gum tissue. Additionally, stress can weaken the immune system, making gums more vulnerable to infection and inflammation.
-
How long does it take to recover from gum surgery?
Recovery time depends on the type of procedure performed. Traditional gum grafting surgery typically requires about two weeks for proper healing. In contrast, the newer pinhole surgical technique is minimally invasive, and most patients recover within 24 to 48 hours with less discomfort.
